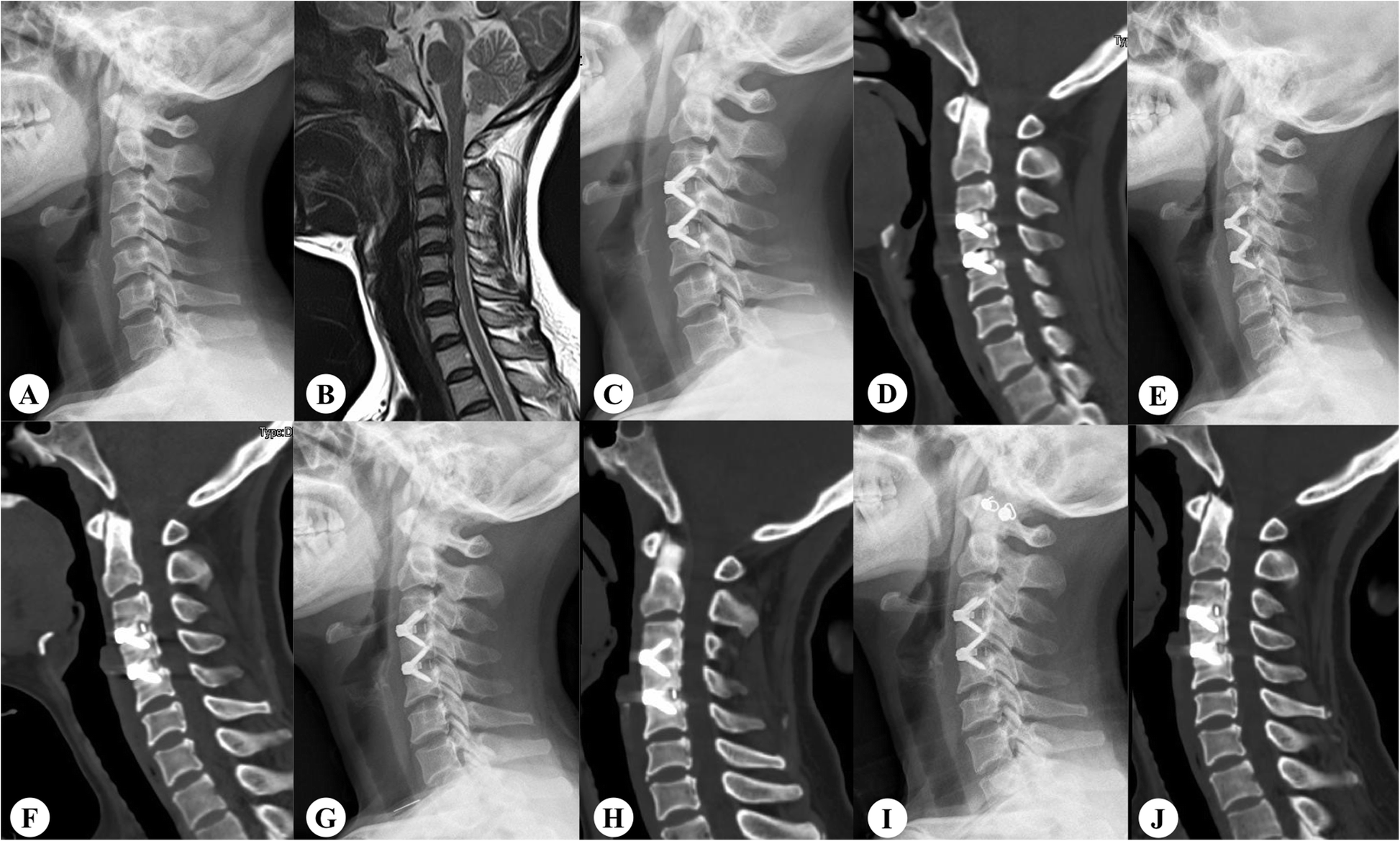
Fig. 2

Radiographs of a 49-year-old woman. A, B Preoperative lateral radiograph showing degeneration and compression at the C3/4 and C4/5 levels. C, D Postoperative image showing two suitable prostheses placed at those levels. E, F Three-month postoperative lateral radiograph showing a growing bridge only at the cranial level. G, H Fusion of only the cranial level at 6 months postoperatively. I, J At 2 years postoperatively, fusion of only the cranial level is complete